gingivites et parodontites

gingivites et parodontites

Etiologie multifactorielle : microbienne , inflammatoire , génétique , l’état de santé générale ( diabète , VIH , Papillon-Lefèvre ...), les médicaments , stress , tabac , l’alcoolisme, hygiène dentaire personnelle , accès aux soins
Déséquilibre entre la capacité de défense de l’organisme et l’agression microbienne







Comment reconnaitre une maladie parodontale :
-les gencives saignent au brossage ou spontanément
-les gencives sont rouges violacée ( signe d’inflammation chronique) à la place d’avoir la couleur rose
-les papilles gingivales se décollent
-les papilles gingivales sont décapitées , ça sent mauvais et ça fait très mal
-les gencives se rétractent
-du pus peut apparaitre au bord gingival
-avoir une mauvaise haleine
-les dents sont mobiles
-les dents commencent à s'écarter
-un abcès parodontal
Ces symptômes peuvent être légers chez le fumeurs ( le tabac est vasoconstricteur ) et la maladie va évoluer en silence pour se révéler dans une forme sévère.
Les microorganismes pathogènes impliques dans la maladie parodontale sont le plus souvent anaaérobies , gram - :


Gingivites = inflammation gingivale sans atteinte osseuse , complètement réversible à l'état sain par une reprise correcte de l'hygiène dentaire et détartrage. Les saignements au sondage ou au brossage dentaire sont provoquées par les bactéries contenues dans la plaque dentaire et le tartre.
Une gencive saine ne saigne pas !!!



Parodontite = perte d’attache ( os , gencive, ligaments , cément radiculaire) , partiellement réversible par traitement non chirurgical ( détartrages et surfaçages radiculaires ) ou chirurgical et reprise correcte de l'hygiène dentaire et maintenance parodontale régulière . La perte osseuse horizontale est irréversible. On peut régénérer l’os partiellement dans le cas des lésions osseuses verticales.
Il y a 2 phénotypes de parodonte : fin ou épais .
1.Pour le parodonte fin, la résorption de l’os est accompagné par une récession gingivale, avec l’exposition de la racine
2.Pour le parodonte épais, la résorption osseuse est accompagné par une faible récession gingivale et de la formation d’une poche parodontale
Dans les poches parodontales, les bactéries trouvent les conditions idéales pour se multiplier et sécrètent des toxines.
En fonction de la profondeur des poches parodontales on décide du type de traitement :
1.moins de 5 mm = non chirurgical ( détartrages et surfaçages radiculaires )
2.plus de 5 mm = chirurgical
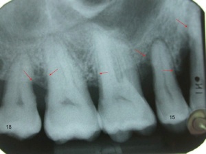
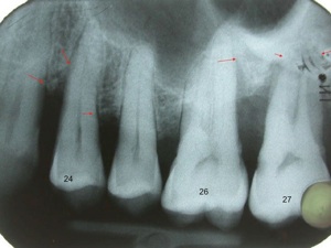
L’atteinte de la furcation interradiculaire est un facteur aggravant.


Résorption osseuse interradiculaire, classification des furcations:


Les 3 étapes d’un traitement parodontal sont :
1.Traitement initial étiologique :
-élimination du tartre supragingival et sousgingival par détartrage et surfaçage radiculaire
-irrigations en sousgingival avec antiseptiques ( chlorhexidine, betadine et eau oxygénée )



- laser

-adapter ou remplacer les plombages ou les couronnes irritantes pour le parodonte
-conseiller une technique de brossage dentaire et interdentaire
-conseiller l’utilisation d’un révélateur de plaque dentaire
-antiseptiques en bain de bouche
-antibiotiques
2.Traitement Chirurgical - phase corrective :
- diminuer la profondeur de la poche parodontale , pour recréer des conditions favorables à une maintenance à long terme
A/-Méthode résective : l’élimination des poches , chirurgie osseuse

B/-Méthode d’assainissement parodontal : Lambeau de Widman modifié

C/-Méthodes régénératives ( RTG régénération tissulaire guidée )
-membrane RTG ( type Bio-Gide ) seule ou associé aux biomatériaux ( type Bio-Oss )
-permet une régénération osseuse et une nouvelle attache

3.Traitement de maintien parodontal
-détartrages tous les 3 à 6 mois
-conseils d'hygiène en fonction de l'évolution
-dépister et traiter les récidives
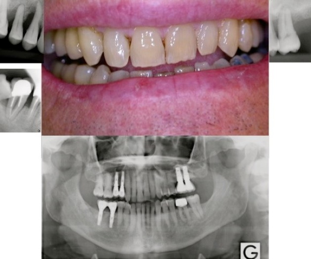
Si la maladie parodontale n’est pas traitée l'évolution est vers la perte dentaire.

Pour certaines dents il faut prendre la décision d’extraction et remplacement par des implants , avant que la résorption osseuse soit trop avancée.

Les effets indésirables du traitement sont:
-hypersensibilité dentinaire
-esthétique par l’absence des papilles interdentaires
Traitements associés dans certains cas :
1.attelle de contention ou bridges ( pour les dents mobiles )
2.couronnes pour refaire des papilles , en changeant la forme de la dent
3.produits à base de fluor sur les collets sensibles
4.orthodontie
5.implants pour remplacer les dents irrécupérables

Les parodontites sont fréquentes et peuvent affecter tout les individus , quel que soit l’âge.
Mieux vaut prévenir que guérir.
Les maladies parodontales sont nocives pour les patients :
-souffrant d’une lésion cardiaque (malformation cardiaque, lésions valvulaires ou prothèses valvulaires)
-femmes enceintes
-diabète surtout si il n’est pas équilibré
-responsable d’une infection postopératoire dans une chirurgie générale
La maladie parodontale présume une maintenance dans la durée et un haut niveau d'hygiène
dentaire. Il y a des récidives qui nécessitent un retraitement.
On peut évaluer le risque de récidive en fonction de plusieurs facteurs :

Exemples:

